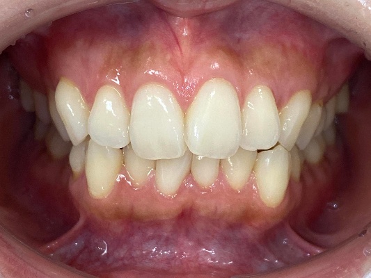
上下前歯の歯並びがガタガタしているのが気になる、きれいにしたいとのご希望で来院されました。
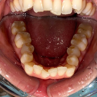
来院時の歯並び写真



来院時の歯並びデータをもとに、矯正により歯がどのように動くか、またどのような歯並びを目指すかをシミュレーションします。
患者さまにも同じ動画と現在の歯並びレントゲンを確認して頂き、「奥歯を後側に送り空いたスペースを使い前歯を移動する」ご提案を経て矯正治療がスタートしました。
治療の流れ
G様の矯正治療の大まかな流れは、以下の通りです。
① 臼歯(奥歯)を中央から遠ざかるように)移動
② 通常よりも狭V字型に変形している歯列弓の拡大(下図イメージ参照)

③ 噛み合わせの平面凹凸をなめらかに改善
④ 狭くなった歯列のアーチを拡大して、空いたスペースへ犬歯と前歯をきれいに並べる
⑤ 歯並びを左右対称にする
まずは親知らずの抜歯から
【2020年9月】
アライナー装着の前段階として、奥歯(大臼歯)をさらに奥(親知らずのある位置)まで移動するために、親知らずの抜歯を行いました。
今回抜歯する親知らずは、埋没しているため肉眼では確認できません。
【2020年10月】
アライナーの装着を開始しました。
アーチを広げて上段歯並びを矯正
【2021年4月】
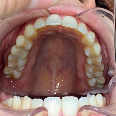
アライナー装着から7ヶ月が経過し、歯並びのアーチがきれいに仕上がってきました。
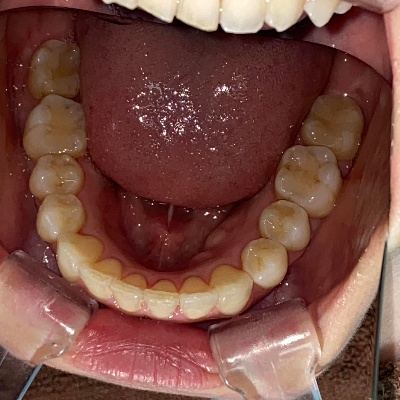
アーチが広がりV字型からU字型になったのがわかります。

次のステップとして、奥歯の嚙み合わせを良くするために再度スキャン(画像取得)を実施しました。
この状態で、再度矯正シミュレーションを行いました。
実際のシミュレーション動画がこちら↓
2021年5月 再スキャンの結果を踏まえ、新しいアライナーの装着を始めました。
2022年1月 全体的な歯並びが整ってきました。


犬歯の位置調整や奥歯の噛み合わせの最終仕上げ(下記赤丸部分)に、再度矯正シミュレーションを行いました。

実際のシミュレーション動画がこちら↓
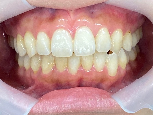
2022年5月 歯並びが完成し、リテーナーに移行しました。


治療期間や費用など
【治療期間】
1年9か月(2020年10月~2022年5月)
現在はリテーナーに移行
【通院回数】
13回
【治療費用】
825,000円
【患者様の声】
いくつか相談に行ったところ、小臼歯(前から数えて4番目と5番目の歯)を抜歯しないといけないと言われました。しかしこちらでは、見えない親知らずの抜歯のみでアーチを広げて並べていただいたので、口の中が広くなった感じです!鏡で歯並びを見るのが楽しいです。
当院からのコメント
当院では小臼歯の抜歯はできる限り避け、非抜歯の計画を立てることを信条としております。
ダイヤモンド・プロバイダー認定医が在籍しているので安心してご相談頂けます。
歯並びや希望も患者様それぞれ異なります。
症状に合わせてシミュレーションと調整をして参りますので、ぜひご相談下さい。
