あなたの理想の歯並びを

150症例以上の
実績
ブライダル矯正
短期間で間に合う!
19:00まで
徒歩0分

インビザライン矯正は
「インビザライン
ダイヤモンドプロバイダー」が
治療を行います。
インビザライン
「ダイヤモンドプロバイダー」は、
「年間150症例以上」の実績で
与えられる評価です。

マウスピース矯正(インビザライン)で理想的な歯並びを実現するためには、正確な歯型の採取が非常に重要です。当院では、口腔内の3次元データを詳細にスキャンしてデータ化できる「iTero element 5D」を導入しています。この技術により、従来のシリコンを使った歯型採取と比較して、より精密で正確な歯型を取得でき、理想的な歯列を作り上げるための高精度な治療を提供しています。
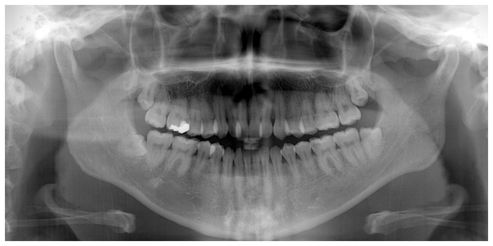
レントゲン写真を元に、
歯並びと顎骨の分析をします
矯正カウンセリングにお越しいただいた方を対象に、WEBCEF(ウェブセフ)よる歯列矯正の解析レポートを作成し、詳しいご説明の上でご提供します。
この解析レポートでは、
・歯並びの左右の傾き
・お顔の中心に対して上顎歯列と下顎歯列がずれていないか
・ずれている場合には、どのように改善できるか
などを分析します。
レントゲン写真を元にして
実際に解析された画像
こちらの分析では上顎前歯と下顎前歯のどちらも右側にずれていることがわかります。
このズレを矯正治療によって、正常な範囲まで移動させて治します。
標準(青線)の顎骨と、患者さま(赤線)の顎骨にどのような特徴があるのかを調べます。
標準と比較し分析したデータを数値化します。
緑の項目が標準範囲内で正常、赤の項目は正常値から外れた診断結果として表示されます。
赤字の部分を標準範囲の緑へ変えていくことが、矯正治療の基本的な方針となります。
(※必ずしも、全てをグリーンにするわけではありません)
当院の矯正治療は、年間150症例以上のマウスピース矯正を手掛ける経験豊富なインビザラインダイヤモンドプロバイダーが担当します。矯正治療では、口腔内の状態や歯の生え方など、さまざまな要因を総合的に考慮することが重要です。患者さん一人ひとりに合わせた的確な診断と治療計画を立て、確実に歯並び改善を進めていきます。
事前に3Dシミュレーションを行うことで、治療開始前に歯がどのように動いていくかを確認できるため、治療の流れがイメージしやすく、安心して治療を進めることができます。また、シミュレーションデータはお手持ちのスマートフォンでも確認できます。
患者さんをお待たせすることなくスムーズに治療を受けていただけるよう、当院の矯正治療は完全予約制で行っております。治療をご希望の方は、まずお気軽にご相談ください。
当院は、地下鉄「堺筋本町駅」から徒歩0分の場所に位置しており、公共交通機関での通院が非常に便利です。平日は夜19:00まで診療を行っているため、仕事や学校、部活帰りにも通院しやすくなっています。
矯正治療は、あなたのご希望に応じたきれいな歯並びを実現することはもちろんですが、現在隠れている噛み合わせや顎関節の問題点を見つけ、これから何十年先にも問題が起こらないように計画を立てることも大切です。抜歯、非抜歯それぞれのメリット・デメリットについて、ご納得されるまでとことん話し合いのうえ、ご自身に合うゴールを見つけていきます。将来の健康とすばらしい未来のために、共に頑張りましょう!!
当院のサイトにご訪問いただき、ありがとうございます。2024年4月にホワイトスマイル歯科・矯正歯科院長に着任いたしました西村優理子です。
私たちのミッションは、日々研鑽を積み、アップデートしながら患者さんの歯の健康に貢献することです。オフィスワーカーの方々に、さわやかな息と白く輝く口元を提供していきたいと考えています。
矯正治療は専門的な知識や技術が必要な治療となります。インビザライン矯正において経験が豊富な歯科医師が治療を行いますので、ご不明な点やお困りごとはお気軽にご相談ください。

マウスピース矯正(インビザライン)は
世界中で1,500万人以上の患者さんに利用されている実績豊富な治療法です。
透明のマウスピース型矯正装置を着用することで、
周囲に気づかれずに歯並びを整えられるだけでなく、
痛みや違和感が少ないことも特徴です。
食事や歯磨きの際に簡単に取り外しができるため、むし歯や歯周病のリスクが低く、食事もこれまで通り楽しむことができます。
マウスピースは薄い素材で作られているため、違和感や痛みが通常の矯正装置よりも少なく、患者さんのストレスを軽減することができます。
透明なマウスピースを使用しているため、装着していても目立ちにくく、周囲に気づかれにくいのが特徴です。装置の見た目が気になる方に特におすすめです。
プラスチックに似た素材でマウスピースは作られているため、金属アレルギーの方でも安心して矯正治療を受けることができます。
| 種類 |
マウスピース矯正 ![]() |
メタルブラケット ![]() |
リンガル矯正 ![]() |
|---|---|---|---|
| 目立ち にくさ |
◎マウスピースが透明で 目立ちにくい |
×金属のブラケット等が 目立ちやすい |
◎歯の裏側に 装着するため 目立ちにくい |
| 取り外し | ◎簡単に取り外し可能 | ×取り外し不可 | ×取り外し不可 |
| 金属 アレルギー |
◎心配なし | △素材によっては 注意が必要 |
△素材によっては 注意が必要 |
| 痛みの 少なさ |
○痛みは少ない | △痛みや違和感を 覚えることがある |
×痛みや違和感を 覚えやすい |
| 通院の間隔 | 2~3ヵ月に1回 | 月に1回程度 | 月に1回程度 |
| 治療費 | 比較的安価 | 比較的安価 | 高価 |
01 未承認医療機器であること
インビザライン®は薬機法上対象外の医療機器です。
医療機器としての矯正装置に該当しないため薬機法上の承認を得ていません。
マウスピースに使用される材料そのものは薬事承認されておりますので、安全にご使用いただけます。
02 国内の承認医薬機器等の有無
マウスピース型矯正装置はインビザライン®の他にも様々な種類があります。その中には、条件を満たして薬事承認されているマウスピース型矯正装置も国内でいくつか存在しています。
03 諸外国における安全性等に係る情報
1998年にFDA(米国食品医薬品局)から医療機器として認証され、販売認可を受けています。
これまで1,500万人以上の患者様に使用されておりますが、重篤な副作用の報告はありません。
04 入手経路等
インビザライン®は、米国アライン・テクノロジー社の製品です。
当院はインビザラインを用いた治療システムを、アライン・テクノロジー社のグループ会社である
「アライン・テクノロジー・ジャパン株式会社」より入手しています。
05 医薬品副作用被害救済制度について
医薬品副作用被害救済制度について万が一重篤な副作用が出た場合は、国の医薬品副作用被害救済制度の対象外となります。


仕事が忙しくて時間が取れない」「就活で予定がいっぱい」といった時間に関する不安がある方でも、通院は2~3ヵ月に1回程度なので、治療を続けやすいです。また、「面接までに治療が終わらない」といった心配にも、矯正装置を一時的に外すことができるので安心です。
営業職や接客業など、人と接する仕事をされている方々や、人前に出る機会が多い方は、矯正装置が目立って仕事に支障が出ることを心配されるかもしれません。しかし、マウスピース矯正(インビザライン)は透明で目立ちにくいため、外見を気にすることなく、仕事に支障をきたすことなく治療を進めることができます。
一生に一度の結婚式をきっかけに歯列矯正を検討される方もいらっしゃるかもしれません。マウスピース矯正(インビザライン)なら、治療中でも自分で簡単に取り外せるので、式の際だけ外すことができます。大切な写真がたくさん残る特別な日だからこそ、思いっきりの笑顔を見せたい方にぴったりです
思春期の中学生や高校生は、自分の見た目に敏感な時期です。そのため、矯正装置が目立つことが笑顔を作るのをためらわせてしまうことがあります。しかし、マウスピース矯正なら目立つ心配なく、治療を進めることができます。さらに、部活動や運動をしている方にも、マウスピースは痛みがほとんどなく、思いっきり体を動かすことができるので安心です。

始めやすい料金プラン!
自分のペースでお支払いできる
デンタルローンも可能です
※一括払いの場合
※一括払いの場合
※一括払いの場合
※一括払いの場合
※初回のお支払のみ、14,371円(税込)となります。
※治療費426,000円(税込)のマウスピース矯正を86回の分割払いでのお支払いいただく場合の例となります。
1年間(1月1日から12月31日まで)の間に支払った医療費の合計が10万円以上の場合、医療費の控除が受けられます。詳しくは国税庁の医療費控除のページをご確認ください。
堺筋本町駅より徒歩0分
〒541-0053
大阪府大阪市中央区本町1丁目7−6
本町センチュリービル1F
| 診療時間 | 月 | 火 | 水 | 木 | 金 | 土 | 日 |
|---|---|---|---|---|---|---|---|
| 9:00~13:30 | ● | ● | ● | ● | ● | ● | / |
| 14:30~19:00 | ● | ● | ● | ● | ● | ★ | / |
★:14:30~17:00
※休診日:日・祝日

歯を抜くことはありますか?
まず最初に、歯を抜かずに歯並びを改善する方法を優先的に考えます。その結果、上下の前歯があまり内側に動かない場合、次の選択肢として歯の隣接面を削る方法を検討します。それでも歯の傾斜や横顔のフォルムが改善しない場合、最後の選択肢として小臼歯を抜歯することをご提案させていただきます。一般的には、前歯を2〜3mm以上内側に入れる必要がある場合、抜歯を選択することが多いです。
痛みはありますか?
ワイヤー矯正に比べると痛みは軽度ですが、多少の痛みを感じることがある方もいらっしゃいます。特に初めてマウスピースを装着した際には、少し気になることがあるかもしれません。また、歯が動いている間は周囲の組織が少し緩んでいるため、噛み合わせ時に軽い痛みを感じることがあります。しかし、日常生活に支障が出るほどのものではないので、心配いりません。
どのくらいの通院間隔ですか?
通常、来院は1〜2ヵ月に1回のペースとなりますが、マウスピースの交換が順調に進んでいる場合は、3ヵ月に1回となります。初めてアライナー(マウスピース)を装着された場合には、1週間後に経過を確認させていただきます。
治療中に食べてはいけないものはありますか?
マウスピース矯正では、特に食べてはいけないものはありません。一方、ワイヤー矯正の場合は、固いもの(せんべいやリンゴなど)や粘着力のあるもの(ガムなど)を食べると、矯正装置が取れてしまう可能性があるため、注意が必要です。
本当に歯が動きますか?
マウスピース矯正はインビザラインだけで世界中に1,500万人以上の方が治療を受けており、高い精度があるので特にご心配はありません。マウスピース1枚で歯は0.25mm動きます。つまり、歯を2mm動かすためには8枚のマウスピースで十分に実現可能です。インビザラインの特徴は、歯の表面に凹凸を設けることで、歯を回転させたり、延ばしたり、圧下させたりと、自由に歯を動かすことができる点です。
治療に長い期間必要ですか?
歯並びのタイプによって治療期間は異なります。前歯のみの矯正の場合、治療は1年ほどで完了しますが、奥歯と前歯の両方を矯正する場合は、2年以上の期間が必要となります。特定の期間内に矯正治療を終えたい方には、光照射型加速装置を使用することで、治療期間を3〜4割ほど短縮することが可能です。ご希望の方は、ぜひお声がけください。
1日に何時間装着するのですか?
マウスピースは1日22時間以上の装着が原則となります。基本的には、食事や歯磨きの時間を除いて、それ以外の時間は常に装着していただくようお願いしています。歯並びの治療が終了し、保定用の「リテーナー」を装着する段階になると、夜間のみの装着でも問題ありません。
どの医院で受けても同じですか?
インビザラインの治療計画は各医院のドクターが設計するため、歯並びのゴールには担当する歯科医師によって差があります。また、患者さんのご希望を反映させることで、歯の動きや治療期間にも大きな影響があります。そのため、矯正治療の経験が豊富な歯科医師に依頼されることをおすすめします。
治療後歯が元の位置に戻ってしまうって本当ですか?
矯正治療後は、歯が後戻りしようとする力が働きます。そのままにしておくと、元の歯並びに戻る可能性がありますので、矯正後は約2年間の保定装置の装着をおすすめします。2年間の装着で噛み合わせが安定すれば、後戻りしにくくなります
むし歯や歯周病などがあっても、矯正できますか?
初診時にむし歯や歯周病が見つかった場合は、矯正治療を始める前にまず治療を行います。もし矯正中にむし歯が発生した場合でも、矯正治療に影響が出ないように適切に治療を行いますので、ご安心ください。
マウスピースを失くしてしまったら?
マウスピースの場合、紛失した際には有償で再発注が可能です。マウスピースをお渡しする際に、インビザライン社専用の携帯ケースをお渡ししますので、そちらに保管していただくことをおすすめします。
1本だけの部分的な矯正は可能ですか?
1本だけの歯並び矯正など、軽度の矯正もインビザラインで対応可能です。治療期間が短く、費用も抑えられる「ライトプラン」もご用意しています。
1週間外して生活したいのですが?
マウスピースは1日22時間以上の装着が原則です。長期間外してしまうと、動いていた歯が元に戻ったり、別の方向に動いてマウスピースが合わなくなることがあります。その結果、追加費用が発生する場合もあるため、外しすぎはおすすめできません。
何歳くらいから治療できますか?
永久歯が生え始める6〜7歳からマウスピース治療が可能です。小児の場合、成長の進み具合やお口の状態に個人差があるため、治療が適応可能かどうか、一度ご相談いただくことをおすすめします。
分割払いは可能ですか?
可能です。お会計時にお気軽にお伝えください。
50代でも治療可能ですか?
年齢は関係ありませんので可能です。60代、70代の方でも矯正治療をされる方はいらっしゃいますのでご安心ください。
失敗することもありますか?
治療前にお伝えした歯並びとまったく異なる結果になることはありませんが、100%思った通りに仕上がらない場合もあります。しかし、これは治療を続けることで調整が可能で、その分の追加費用はかかりませんので、ご安心ください。