白い歯で口元から
印象を変えませんか?
ホワイトニングとは、歯を削ることなく、薬剤を使って歯を白くする方法です。
歯の表面の汚れだけではなく、エナメル質の内部まで沈着した色素までを落とすことができます。
歯が白くなると
印象も変わります
- 笑顔に自信が持てるようになる
- 第一印象がよくなり、人間関係も良好に
- 口元が明るくなりアンチエイジングに
- 歯を綺麗に保とうという意識が高くなり、虫歯や歯周病のリスクが減ります
ホワイトニング
メニューの
ご紹介

歯科医院で行う短時間集中のホワイトニング
オフィスホワイトニング
歯科医院で行うホワイトニングです。
歯に直接、高濃度の薬液を塗布し、レーザーで光を当てることで白くしていきます。
短期間で歯を白くすることができるため、結婚式や就職活動に向けてなど、即効性を求める方におすすめの方法です。
オフィスホワイトニング
施術の流れ
まずは、予約フォームよりご希望の来院(施術)日時を予約ください。
ご予約当日は、専用の個室でカウンセリングをさせていただきます。
完全個室で施術を行いますので、ゆっくりとお寛ぎください。
ご希望やご不安・疑問を解消し、患者様に合う施術プランをご提案させていただきます。
歯肉に漂白剤がつかないように保護します。
歯へ漂白剤を塗り光をあて、白くしていきます。
漂白は数回繰り返します。
終了後は検査を行い、歯の色を確認します。

白さを持続させたい方へ
ホームホワイトニング
ご自宅で行うホワイトニングです。
オーダーメイドの専用マウスピースとホワイトニングキットを使用し、お好きな場所で1日2時間ほど装着するだけです。
ご自身のペースに合わせて行えるため、忙しく通院する時間がない方や手軽にホワイトニングしたい方におすすめの方法です。
ホームホワイトニング
施術の流れ
あなたの歯に合わせたトレーを作製します。
使用方法を詳しく説明いたします。
お帰りの際に、トレーと漂白剤をお渡しします。
トレーに漂白剤を入れて、自宅で徐々に白くしていきます。
ホワイトニング症例
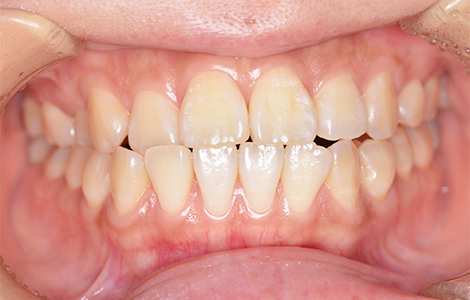
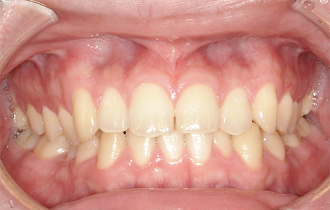
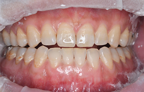
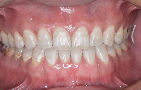
Case.1
| 年齢 | 20代(女性) | 症例 | デュアルホワイトニング |
|---|---|---|---|
| 治療期間 | 2ヶ月 | 費用 | 44,000円(税込み) |

BEFORE

AFTER
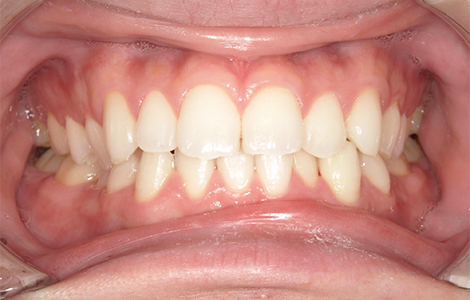
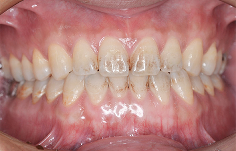
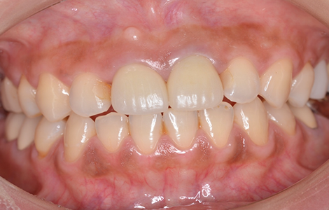
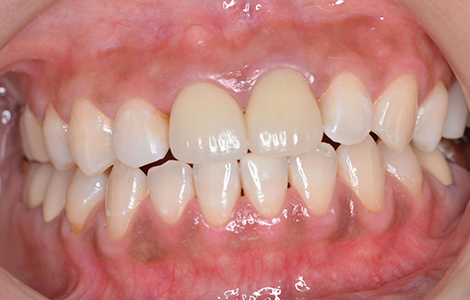
Case.2
| 年齢 | 20代(女性) | 症例 | デュアルホワイトニング |
|---|---|---|---|
| 治療期間 | 2ヶ月 | 費用 | 44,000円(税込み) |

BEFORE

AFTER
Case.3
| 年齢 | 30代(男性) | 症例 | 全顎クイックジェット+デュアルホワイトニング |
|---|---|---|---|
| 治療期間 | クイックジェット1ヶ月+デュアルホワイトニング2ヶ月 | 費用 | 5,500円+44,000円(税込み) |

BEFORE

クイックジェット後

オフィスホワイトニング後
Case.4
| 年齢 | 40代(女性) | 症例 | デュアルホワイトニング |
|---|---|---|---|
| 治療期間 | 2ヶ月 | 費用 | 44,000円(税込み) |

BEFORE

AFTER
ホワイトニング
コースのご紹介
ホワイトニング
コースのご紹介
| オフィスホワイトニング | 片顎 15分×2回光照射 22,000円~27,500円 上下顎 15分×2回光照射 33,000円 |
|---|---|
| ホームホワイトニング | トレー + ペースト 33,000円 |
| デュアルホワイトニング | 上下顎 44,000円 |
※料金は全て税込み表記です
オフィスホワイトニングと
ホームホワイトニングの比較
オフィスホワイトニング |
ホームホワイトニング |
|
| 施術場所 | 歯科医院 | ご自宅 |
| 方法 | クリニックで歯の表面にホワイトニングジェルを歯の表面に塗布した後、特殊な波長の光線を当てます。 | ホワイトニング専用トレーの中に専用ジェルを入れた後、歯に装着し、約3時間作用させます。 |
| メリット | ・短期間で効果を実感できる ・数十分で済むため、時間のない方向き ・素早く白くしたい方へおすすめ ・結婚式や就活など、お急ぎの方に適しています |
・好きな時に好きな場所で ホワイトニングできる ・白さが長持ちする ・後戻り(歯が元の色に戻ること)が 少ない |
| デメリット | ・歯がしみやすくなることがある (その場合はコーティング剤を塗布) ・施術後、24時間食事制限がある |
・歯の元々の色までしか白くならない ・歯が白くなる速度がゆっくり |
ホワイトニングで
よくあるご質問
Q. いきなりホワイトニングを申し込むのは不安です。まず相談はできますか?
A. もちろん可能です。
不安なことをカウンセリングの際にお伺いし、丁寧に説明させていただきます。
また当院では無料カウンセリングを行っておりますので、お気軽にご相談下さい。
Q. ホワイトニングを受ける際の注意点は?
A. 一時的に知覚過敏(冷たいものが歯にしみる)が起こることがあります。
また、変色が著しい場合は、ホワイトニングの効果が期待できない場合があります。詰め物や被せ物の色調は変わりません。
色が後戻りした場合は、リタッチという方法で白さを復活させることができます。
※妊娠中、授乳中の女性はホワイトニングを受けることができません。
Q. ホワイトニングは体に害はないでしょうか?
A. ホワイトニングの薬剤である過酸化水素は、米国食品医薬品局でも成分の安全性を保障しています。
日本では、各歯学部、歯科大学の研究室でもホワイトニング剤についての研究が行われ、多くの歯科研究室では論文も多数出されており、ホワイトニング剤の安全性が保障されています。
Q. 歯のクリーニングとホワイトニングの違いを教えて下さい。
A.歯のクリーニングは歯の表面についている歯垢やハブラシでは落とせない歯石、タバコのヤニ、コーヒーや紅茶の茶しぶなどの着色を落として、本来の歯の白さを取り戻す処置のことです。髪に例えると「シャンプー」のようなものです。
ホワイトニングは、ホワイトニングの薬剤を使用して、歯にしみ込んでいる色素を分解することより更に白くする処置のことです。髪に例えると「カラーリング(髪染め)」のようなものです。
Q. 虫歯や銀歯があってもホワイトニングはできますか?
A.虫歯になっている場所や虫歯の進行具合によりますが、可能な場合もございます。
ですが、基本的にはなるべく虫歯治療を優先して治療していただくことをお勧めします。
保険の銀歯はパラジウム合金が使われています。パラジウムはお口の中で長期間にわたり段々と腐食していく傾向にあるので、先にセラミックやジルコニアなどの腐食しない材質で治療を行っておくことをおすすめします。
Q. ホワイトニングは歯を削って白くするのですか?
A. 歯は削らず、表面に薬剤を乗せて浸透させる事により歯を白くします。
安全な光線と専用の薬剤によって自然で透明感がある白い歯に変える最新の治療法です。
Q. 市販の歯磨き粉で歯を白くすることはできますか?
A.薬局等で市販されている歯磨き粉ではほとんど白くなりません。
効果的に歯を白くするためには、当クリニックのホワイトニングをおすすめします。
電気ブラシの使用、定期PMTC(歯石除去・歯面清掃)の受診により白くなるスピードがアップします。
Q. ホワイトニングでどれくらい歯が白くなりますか?
A.ホワイトニングによって歯がどれくらい白くなるかあらかじめ予想することは非常に困難です。
同じ色に見える歯でも、薬剤に対する感受性は様々で、それを施術前に知ることはできません。
ホワイトニングの効果には個人差があることをご了承ください。
Q. ホワイトニングで白くしたら、ずっと白いままでしょうか?
A. 残念ながら徐々に着色してしまいます。
髪に例えるとカラーリングしたら、数ヶ月後染め直す必要が出てくるのと同じで、ホワイトニングされた歯も徐々に再着色してきます。
歯の白さを維持させるには、ホワイトニング効果のあるハミガキ粉でしっかりハミガキをされることをお勧めします。
更に歯科医院で定期的(3~6ヶ月毎)なメンテナンス(クリーニング)やオフィスホワイトニングなどをしていれば、白さを維持することができます。
Q. ホワイトニングの効果はどれくらい続きますか?
A.効果の持続期間は個人差があります。特に食生活や嗜好品及びハミガキの状況によって、再び着色してくるまでの期間が異なり、通常4~6ヵ月程度で少し後戻りをおこします。
主にたばこ、コーヒー、紅茶、赤ワイン、コーラ、カレーなどは歯の着色を早めます。
Q. ホワイトニングは健康保険適応になりますか?
A.ホワイトニングは保険がききませんので、自費診療となります。
Q. 支払いにカードは使えますか?
A. ホワイトニングは自由診療ですので、クレジットカードもご利用可能です。
Q. ホワイトニングした後はどのくらいの時間を置けば飲食可能ですか?
A. ミネラルウォーターなどはすぐに飲んでいただいて結構です。食事は1時間以上空けていただくことをお勧めします。また、ホワイトニング後48時間以内は、コーヒー・紅茶・カレー・トマトソースなど、着色しやすいものを避けていただく必要があります。
